အရင်က လူတွေနဲ့ငြင်းခုန်ခြင်းအကြောင်းတွေကို ရေးခဲ့ဖူးပါတယ်။ အခုပြောချင်တာက ကိုယ့်ရဲ့အတွေးအမြင်တွေ၊ အယူအဆတွေအပေါ်မှာ Bias တွေများပြီး အရှိကိုအရှိအတိုင်း လက်မခံနိုင်တဲ့အကြောင်းပါ။
“အချို့ Information တွေ၊ Idea တွေဟာ ကျွန်တော်တို့ရဲ့ ဘက်တော်သားတွေလိုပါပဲ။ ငြင်းခုန်တဲ့အခါ သူတို့ကို နိုင်စေချင်တာပေါ့။ အဲ့ဒါကြောင့် လူတွေက ကာကွယ်ပြောဆိုတတ်ကြတယ်။ တချို့ Idea တွေကြတော့ ကျွန်တော်တို့ရဲ့ရန်သူလိုပဲ။ အဲ့ဒီတော့ သူတို့ကို လက်မခံဘဲ ငြင်းရတာပေါ့” ဆိုပြီး ပညာရှင်တစ်ယောက်က ပြောခဲ့ဖူးပါတယ်။

နေ့စဉ်ဘဝမှာလည်း ဒါတွေကိုအမြဲတွေ့ရပါတယ်။ အငြင်းအခုန်လုပ်တဲ့အခါ ကိုယ့်အမြင်ကို တစ်ဖက်လူ လက်ခံလာအောင် ပြောတတ်ကြပါတယ်။ ဒါပေမယ့် အဲ့လောက် မလွယ်ကူနေပါဘူး။
လူတွေဟာ သူတို့ရဲ့ယုံကြည်မှုတွေကို အမြဲ Update လုပ်နေတတ်တယ်လို့ ဆိုပါတယ်။ ဒါကို Bayesian Approach လို့ခေါ်တယ်။ Information အသစ်တစ်ခုကို သိတဲ့အခါ ကိုယ့်ရဲ့လက်ရှိ Information ထဲမှာ သွားပေါင်းလိုက်တာမျိုးပေါ့။

ဥပမာ ဆယ်တန်းတုန်းက Calculus သင်္ချာကို သင်ခဲ့ရပေမယ့် ဘာမှအသုံးမကျပါဘူးလို့ ကိုယ်ကထင်တယ်ဆိုပါတော့။ ဒါပေမယ့် သင်္ချာကိုနားလည်တဲ့သူတစ်ယောက်က အဲ့လိုမဟုတ်ကြောင်း၊ ဒီနေ့ခေတ်သိပ္ပံပညာနယ်ပယ်အစုံမှာ Calculus သင်္ချာကိုသုံးကြောင်း ရှင်းပြတဲ့အခါ ကိုယ့်အနေနဲ့ လက်ခံလိုက်ဖို့များပါတယ်။
ဒီလိုလုပ်တာဟာ သိပ္ပံနည်းကျတယ်လို့ ပြောနိုင်ပါတယ်။
ဒါပေမယ့် ခေတ်ပညာတတ်တစ်ယောက်ရဲ့ “နေကိုဦးတည်ပြီး ဂြိုလ်တွေက လှည့်ပတ်နေတယ်” ဆိုတဲ့အမြင်ကို ပြောင်းလဲအောင် လုပ်ဖို့တော့ မလွယ်ပါဘူး။ ဘာလို့လဲဆိုတော့ ဒါကိုထောက်ခံတဲ့ အထောက်အထားတွေ အများကြီးရှိနေတာကြောင့်ပါ။ သိပ္ပံအထောက်အထားတွေကို ဆန့်ကျင်ဖို့ သိပ်မလွယ်ပါဘူး။ ဒါပေမယ့် လက်တွေ့မှာတော့ ဒီအမြင်ကို လက်မခံကြတဲ့သူတွေ အများကြီးပါပဲ။

အဲ့ဒီတော့ ကိုယ်နှစ်နှစ်ကာကာယုံကြည်တဲ့ ကိစ္စတွေဟာ ကိုယ့်အမြင်နဲ့ ဆန့်ကျင်ဘက်ဖြစ်လာရင် တစ်ဖက်လူပြောချင်တဲ့ စကားကို နားလည်ဖို့ မလွယ်တော့ပါဘူး။ အဲ့ဒီအခါမှာ ကိုယ့်အတွေးတွေဟာ Rational မဖြစ်တော့ပါဘူး။
ကိုယ့်ရဲ့ယုံကြည်မှုကို ကာကွယ်ပြောဆိုဖို့ ဖြစ်လာပါတယ်။ တစ်ဖက်ကပြောတဲ့ Facts တွေကို လွယ်လွယ်နဲ့ပဲ Dismiss လုပ်လိုက်ကြပါတယ်။ ကိုယ့်စိတ်ကသိကအောက် ဖြစ်မှာကို ရှောင်ရှားလိုက်တဲ့သဘောပါ။

လူတွေက တကယ်သာ Consistent ဖြစ်ကြတယ်ဆိုရင် Information အသစ်တိုင်းကို အတူတူတုံ့ပြန်ကြမှာပါ။ ဒါပေမယ့် လူတစ်ယောက်တည်းမှာပဲ လွယ်လွယ်နဲ့ယုံလိုက်တဲ့ အချက်အလက်တွေရှိသလို ဘယ်လောက်ပဲ အထောက်အထားတွေရှိနေပါစေ လုံးဝလက်မခံတာလည်း ရှိပါတယ်။ Bias တွေဟာ ဒီသဘောပါပဲ။
အချက်အလက်တစ်ခုကို မယုံချင်တဲ့အခါ လွယ်လွယ်ကူကူ Dismiss လုပ်လို့ရပါတယ်။ သူ့ရဲ့ Source ကိုမေးခွန်းပြန်ထုတ်လို့လည်း လွယ်ပါတယ်။ ဥပမာ Evolution ကိုလက်မခံချင်တဲ့အတွက် သတင်းအမှားတွေ၊ အတွေးအမှားတွေနဲ့ ကြားချနေကြတဲ့ သူတွေအများကြီးပါ။
ဒါ့အပြင် Global Warming ဖြစ်နေတယ်ဆိုတာကိုလည်း လက်မခံသေးတဲ့သူတွေ ရှိပါသေးတယ်။
Source ကိုမေးခွန်းထုတ်ရတာ ဘာလို့လွယ်လဲဆိုတော့ Scientific Research တွေအကုန်လုံးဟာ မပြည့်စုံပါဘူး။ ဒါပေမယ့် အဲ့ဒီလိုမပြည့်မစုံ Research တွေကြောင့်ပဲ နည်းပညာတွေ တိုးတက်လာတယ်ဆိုတာ မမေ့စေချင်ပါဘူး။
Research တစ်ခုက ကိုယ့်အမြင်နဲ့ မကိုက်ညီတဲ့အခါ သူ့ရဲ့အပြစ်အနာအဆာကို ရအောင် ရှာတတ်ကြပါတယ်။ မပြည့်စုံတဲ့အတွက် ရှာရင်တော့ တွေ့မှာပါပဲ။ ဒါက ပညာတတ်အသိုင်းအဝိုင်းမှာ တွေ့ရများပါတယ်။

Cognitive Dissonance အကြောင်းအရင်က ရေးခဲ့ဖူးပါတယ်။ ကိုယ့်အမြင်နဲ့ လက်တွေ့ဘဝ ကွဲပြားနေတဲ့အခါမှာ စိတ်မသက်မသာဖြစ်လာတာကို ပြောချင်တာပါ။ ကိုယ်က Global Warming ဟာ အတုကြီးလို့ လက်ခံထားတယ်ဆိုရင် သူ့ကိုထောက်ပံ့တဲ့ Research တွေကို ဖတ်မိတဲ့အခါ Cognitive Dissonance ရလာပါတယ်။
ဒါပေမယ့် စိတ်က ခပ်မြန်မြန်ပဲ ဆန့်ကျင်ဘက် အမြင်ကို Dismiss လုပ်လိုက်ပါတယ်။ ဒီတော့ စိတ်သက်သာရာရသွားတာပေါ့။ ဒါပေမယ့် လက်တွေ့အမှန်တရားနဲ့တော့ ဝေးကွာသွားပါတယ်။
စိတ်ပညာမှာ Backfire Effect ဆိုတာ ရှိပါတယ်။ ကိုယ့်ရဲ့ အမြင်တွေ၊ ခံယူချက်တွေနဲ့ ဆန့်ကျင်တဲ့ Information တစ်ခုကိုမြင်လိုက်ရတဲ့အခါ အမြင်မှန်ရသွားရမယ့်အစား ကိုယ့်အမြင်ပေါ်မှာ ပိုပြီးယုံကြည်သွားတာပါ။ ဒါက တခြား စိတ်ပညာ Effect တွေထက်စာရင် နည်းနည်းတော့ ဖြစ်ခဲပေမယ့် ဒီလိုဖြစ်သွားတဲ့ သာဓကတွေအများကြီးရှိပါတယ်။

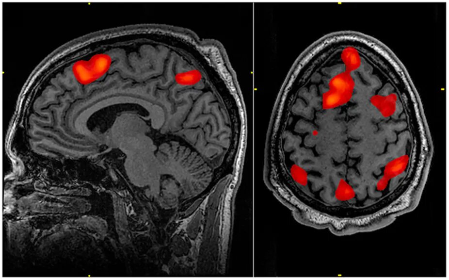
လူတွေကို fMRI (Functional Magnetic Resonance Imaging) ထဲထည့်ပြီး စမ်းသပ်ထားတာ ရှိပါတယ်။ သူတို့ရဲ့ အတွေးအမြင်တွေနဲ့ မဆိုင်တဲ့ Information တစ်ခုကို ပြောတဲ့အခါ ဦးနှောက်ရဲ့ Rational ဖြစ်တဲ့အပိုင်းက အလုပ်လုပ်ပါတယ်။ ဥပမာ Calculus သင်္ချာအပေါ်မြင်တဲ့ ကိုယ့်ရဲ့အမြင်ကို ပြောင်းလဲသွားအောင် တစ်ဖက်လူက ရှင်းပြနေတဲ့အခါမျိုးပေါ့။
ဒါပေမယ့် Ideologically Challenged လုပ်တဲ့ Information တစ်ခုကို ပြောတဲ့အခါ Rational ပိုင်းက အလုပ်မလုပ်တော့ဘဲ ခံစားချက် (Emotion) ၊ ကိုယ့်ရဲ့ Identity စတာတွေကို သိတဲ့ဦးနှောက်ရဲ့အစိတ်အပိုင်းတွေက ပိုအလုပ်လုပ်ကြပါတယ်။ ပြောချင်တာက ခံစားချက်နဲ့ပဲ ဆုံးဖြတ်ကြတော့မှာပါ။

ထူးခြားတာက ဆန့်ကျင်ဘက်အမြင်ကို ပစ်ပယ်လိုက်တဲ့အခါ ဦးနှောက်ရဲ့ Reward Center က အလုပ်လုပ်လာပါတယ်။ အဲ့ဒီတော့ Dopamine ထွက်လာတယ်။
ဒါကြောင့် တစ်ဖက်လူရဲ့အမြင်ကို ဆန့်ကျင်လိုက်တဲ့အခါ ကိုယ်စိတ်သက်သာရာရတာတင်မကဘဲ Reward တစ်ခုဖြစ်တဲ့ Dopamine ကိုပါရလိုက်ပါတယ်။
Dopamine က Habit တွေကို ဖြစ်စေပါတယ်။ ဒါကြောင့် ဒီလိုငြင်းရတာကို သဘောကျလာရင် နောက်တစ်ခါ ဘယ်လိုလာပြောပြော ဆက်ငြင်းနေတော့မှာပါ။

အဲ့ဒီတော့ ကိုယ့်ရဲ့ယုံကြည်မှုတွေနဲ့ ပတ်သက်လာတဲ့အခါ ဒါတွေဟာ ကိုယ့်ကို Define လုပ်တယ်လို့ မတွေးထားသင့်ပါဘူး။ ဒါတွေနဲ့ တတ်နိုင်သလောက် ခပ်လှမ်းလှမ်းက နေသင့်ပါတယ်။ ဒီလိုလုပ်လိုက်ခြင်းအားဖြင့် မှန်ကန်တဲ့လမ်းပေါ်ကို ရောက်ဖို့အခွင့်အရေးများသွားပါတယ်။
ပြောချင်တာက “ငါ့အမြင်ကတော့ ဒီလိုရှိတယ်… ဒီအမြင်ပေါ်မှာ ယုံကြည်မှု ၉၀% လောက်ရှိတယ်… ဒါပေမယ့် တခြားအမြင်တွေအတွက်လည်း တံခါးဖွင့်ပေးထားတယ်” ဆိုတာမျိုးပေါ့။
ပြောတော့ လွယ်တာပေါ့။ လက်တွေ့မှာ အဲ့လောက်မလွယ်ပါဘူး။ ဒါပေမယ့် ကြိုးစားကြည့်သင့်ပါတယ်။
နောက်ပြီးတော့ ကိုယ့်အမြင်နဲ့ဆန့်ကျင်တဲ့သူတွေဟာလည်း လူတွေပါပဲ။ သူတို့မှာလည်း ကိုယ့်လိုပဲ သူတို့ယုံကြည်ချက်နဲ့ သူတို့ရှိကြပါတယ်။ အတော်များများကို ကိုယ်နဲ့မတူတဲ့အတွက် မကောင်းတဲ့သူတွေဆိုပြီး မသတ်မှတ်သင့်ပါဘူး။

ဒါပေမယ့်… Flat Earther တွေ၊ ကာကွယ်ဆေးထိုးတာကိုဆန့်ကျင်တဲ့ Anti-Vax တွေအတွက်တော့ ဒီအမြင်က မကိုက်ညီပါဘူး။ အမြင်တိုင်းကို ဆတူ အလေးပေးတာဟာလည်း လက်တွေ့မှာ မကောင်းပါဘူး။ အချိန်ကုန်စေပါတယ်။

ဒါကြောင့် လောကကြီးမှာ အမြင်မတူတာတွေဆက်ရှိနေဦးမှာပါ။ သိပ္ပံကမထောက်ခံတဲ့ အမြင်တွေ၊ အယူအဆတွေဟာလည်း ဆက်လက်ရှင်သန်နေဦးမှာပါ။
ကျောင်းတွေမှာကတည်းက ကလေးတွေကို Skeptical ဖြစ်အောင် သင်ပေးနိုင်ရင် တော်တော်ကောင်းမှာပါ။ ဒါပေမယ့် သင်ရိုးတွေဆွဲတဲ့ သူတွေကိုယ်တိုင်ကိုက Bias တွေရှိနေကြတော့ ရွှေပြည်တော် မျှောတိုင်းဝေး ဖြစ်နေဦးမှာပါပဲခင်ဗျာ။
SAGAN
Next Post, Previous Post မနှိပ်ဘဲ OUO Link ကနေ ၁ပုဒ်ချင်းဝင်ဖတ်ပြီး ကူညီပါ။
အသိအမြင်၊ အတွေးအခေါ် အသစ်တစ်ခုခုရသွားလို့ လှူဒါန်းလိုပါက Science Nuts (Facebook Page) ကို ဆက်သွယ်လှူဒါန်းနိုင်ပါတယ်။
လှူသမျှငွေအကုန်လုံးကို လိုအပ်တဲ့နေရာတွေမှာ ပြန်လည်လှူဒါန်းပေးသွားမှာပါ။
အရမ်းကိုသဘောကျမိပါတယ်။ လူတွေအမြင်မတူကြတာကို သိပ္ပံနည်းကျ ရှင်းလင်းသုံးသပ်ပြတဲ့အပြင် အမြင်တိုင်းအတွက် တန်းတူသဘောမထားသင့်ဘူးဆိုတာကိုပါ ပုံလေးတွေနဲ့ ပြထားတဲ့အတွက် ရှင်းလင်းလွယ်ကူပါတယ်။
LikeLike
ကားဘီးတွေ စထွက်တဲ့ အချိန်တို့ ရပ်ပါးနီးအချိန်တို့မှာပြောင်းပြန်လည် သလို မျက်စိက မြင်ရတယ် ထင်ရတယ် အဲ့ဒါ ဘာကြောင့်လဲ
LikeLike
ဦးနှောက်ကြောင့်ပါ။ theory တွေက အများကြီးရှိပါတယ်။ Wagon Wheel Effect လို့ရှာကြည့်ပါ။
LikeLike
ဘာလို့ ရပ်လိုက်တာလဲဟင် အကြိုက်ဆုံး channel ပါ free ဖတ်ရတာတောင် အားနာလွန်းလို့😭😭
Viewer နည်းလို့ စိတ်ဆိုးသွားတာလားဟင် များများ promote ပါ့မယ် ပြန်လာခဲ့ပါနော်
တစ်ခုခုများ ဖြစ်သွားတာလား
Facebook page, telegram comment sectionလည်း မရှိတော့ဘူး😭
တစ်ခုခုတော့ ပြောပါ admin ရယ်
တကယ် မျက်ရည်ဝဲလာပြီ TT
LikeLike